- ホーム
- 根管治療
根管治療
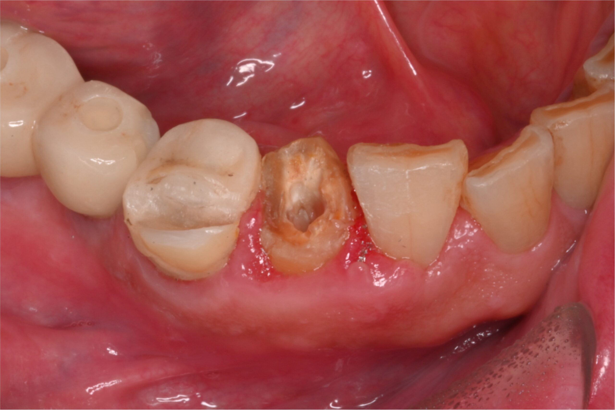
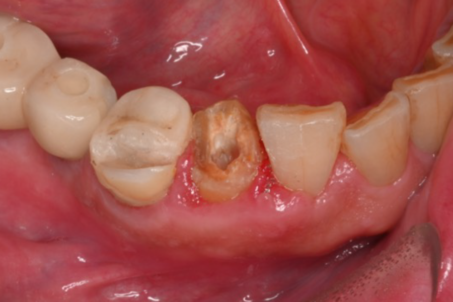
【根管治療】前歯の被せ物が取れた
【根管治療】被せ物が取れた
- 担当医
- 赤澤 伸隆
- 主訴
- 被せ物が取れた
- 期間
- 3か月
- 費用
- 55,000円
- 治療内容
- エクストリュージョン(歯茎の中までしか残っていない歯を歯茎の上まで引っ張る小矯正)
- 治療に伴うリスク
- 歯ぐきに埋まっている歯根が短くなることで、噛み合わせを支える力が弱くなる場合がある。
当日予約OK












| 診療時間 | 月 | 火 | 水 | 木 | 金 | 土 | 日 |
|---|---|---|---|---|---|---|---|
| 9:30~12:30 | ● | ● | ━ | ● | ● | ● | ━ |
| 14:00~19:00 | ● | ● | ━ | ▲ | ● | ▲ | ━ |
【休診日】水・日・祝
▲ 木曜・土曜の午後は15:00~19:00
※変更などにより診療時間・休診日等が記載と
異なる場合がございますのでご注意ください。